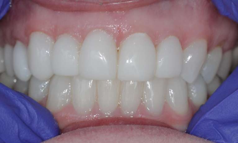
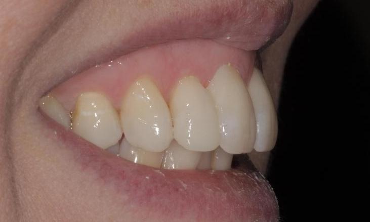
Smile Gallery
It's true that a picture is worth a thousand words. Take a moment to browse through our Smile Gallery to see some of the transformations we've helped our patients achieve with dental crowns and bridges. A dental crown or bridge can do more than just change your smile. It can improve your everyday life.
Check our our service page for more information about crowns and bridges in the Birmingham area. Or click here to schedule a consultation with one of of our dentists.
A phased treatment, beginning with clear orthodontic aligners, then porcelain and resin veneers to give her a new, beautiful smile!
This patient's main concern were the spaces between his front teeth. We first used a laser to gently and painlessly sculpt his gum tissues, which brought his teeth closer to the ideal "height : width ratio" for a nice cosmetic result. Then, 6 resin veneers finished the case for a beautiful new smile!
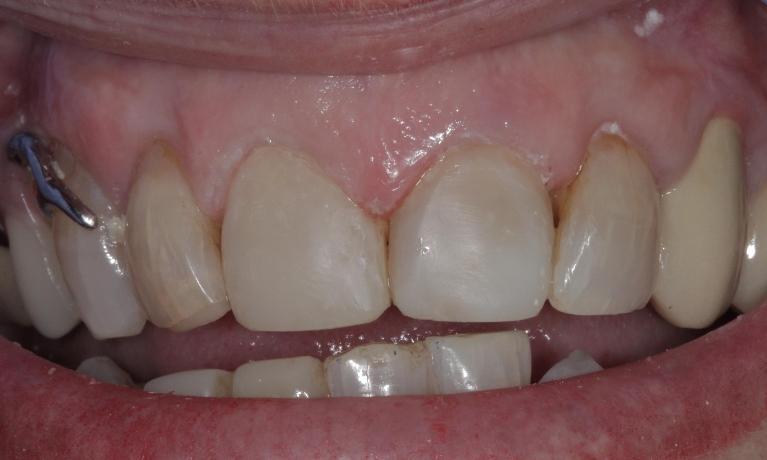
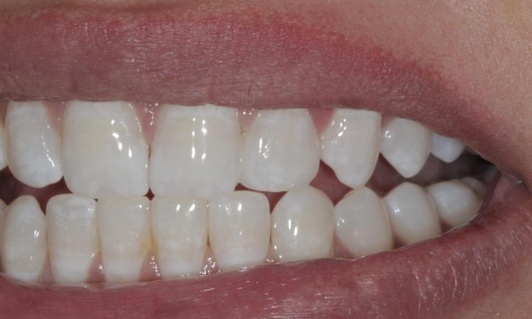
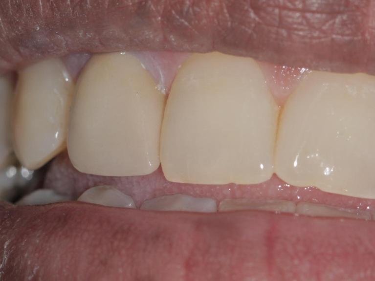
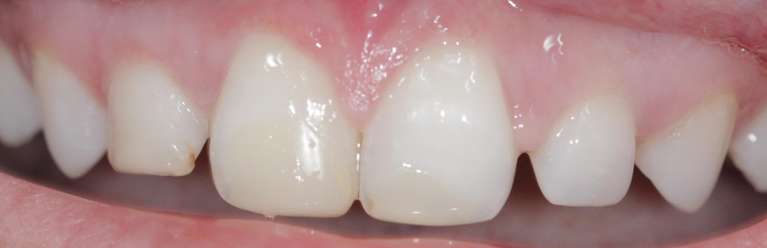
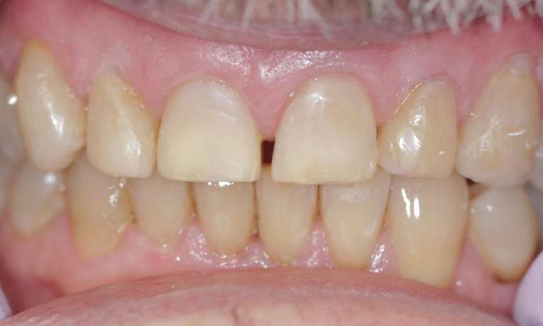
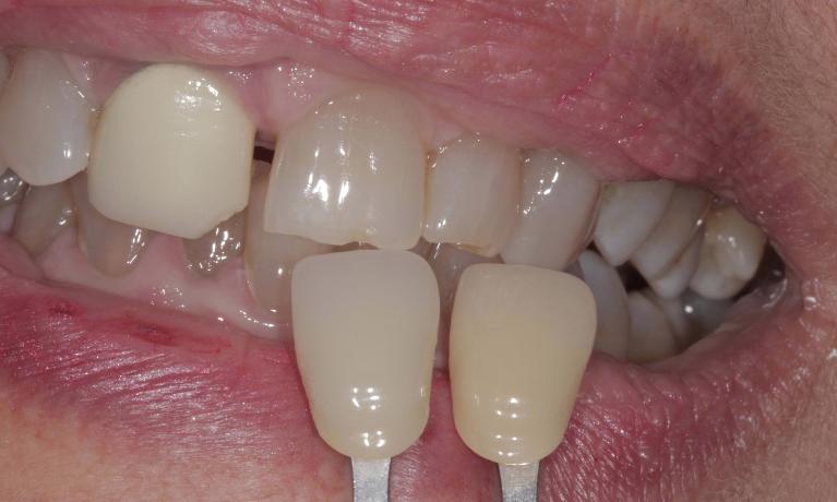
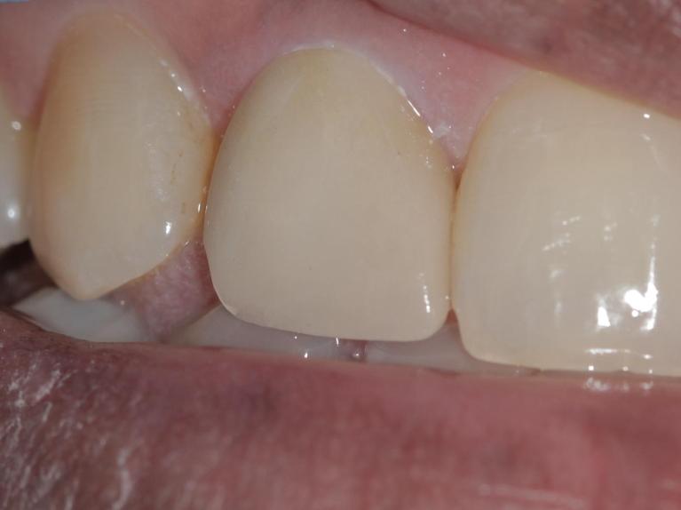
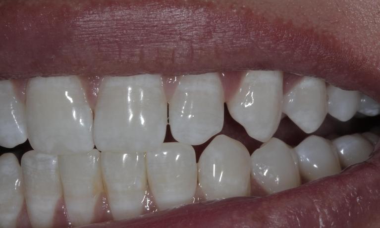
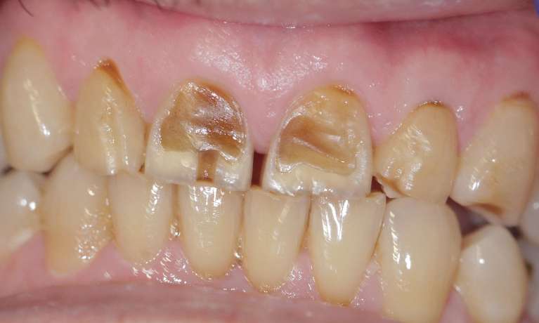
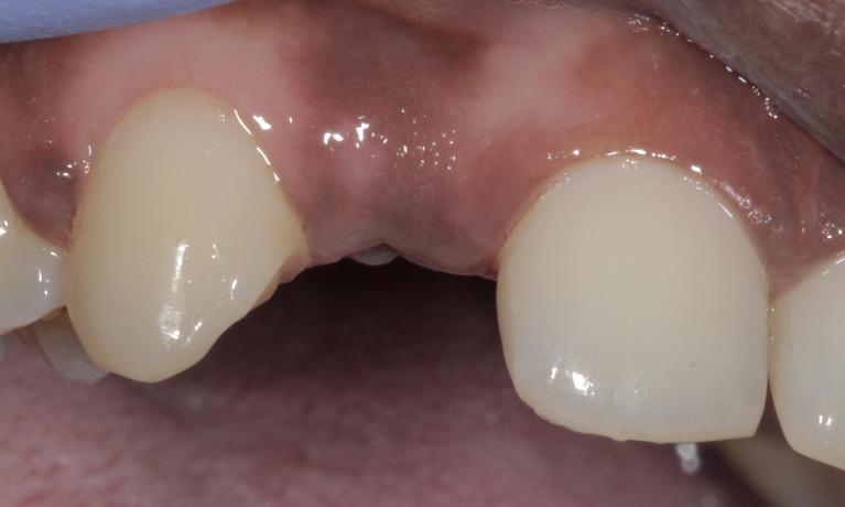
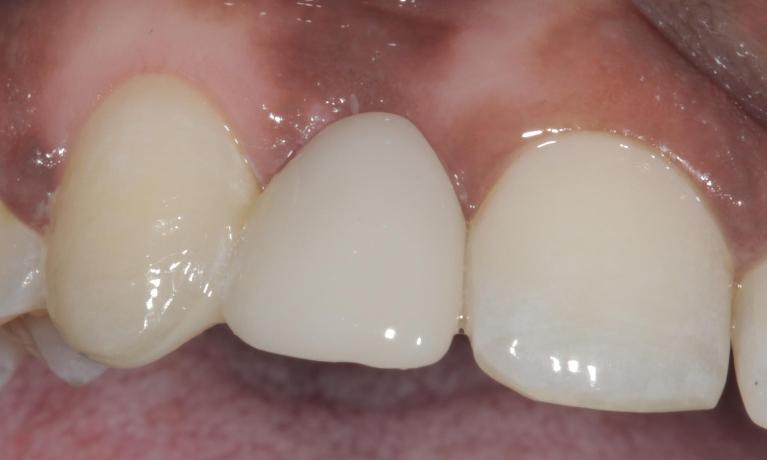
Tooth loss due to trauma, and unfortunately an implant was not an option. A bonded porcelain Maryland bridge gave us a beautiful alternative!
4 upper and 2 lower resin veneers really made a big difference!
This patient just finished orthodontics and wanted her small tooth fixed to look like her other newly straightened teeth. No numbing, no tooth structure removed, resin veneer...beautiful result!
These before and after photos are taken 8 weeks apart! We're not quite finished, but super close for only being 8 weeks into treatment. We'll try to remember to add a final photo once finished
This sweet patient wanted to brighten her smile. She felt her teeth were dark and didn't show up in photos, which caused her to consciously limit the size of her smile.
During her initial exam, we realized that her front teeth tilted in slightly, which caused them to appear smaller and darker in photos.
We discussed several options (she was not willing to go through any kind of orthodontics) and decided that the best, most conservative option would be resin veneers.
We were able to design the veneers to eliminate the inward ...
Old, stained resin veneers removed and replaced with new resin veneers. No numbing, total time about 1 1/2 hours. Beautiful result!
No numbing, no discomfort, and about 4 hours later. 6 upper veneers and 4 lower veneers...what a beautiful result!
This patient was unhappy with her old resin veneers that she thought were ~20 years old. She also wanted to whiten her teeth a bit, so we set her up for an in-office Zoom whitening, then replaced her old veneers with new resin veneers. No numbing, no discomfort, beautiful result!!
We used a laser to painlessly remove excess gum tissue that was covering her teeth, and then bonded resin veneers to enlarge her teeth and close the spaces.
Beautiful result!
This patient was unhappy with the spaces between her lower front teeth. We discussed porcelain veneers and Bioclear bonded veneers.
We sculpted and bonded veneers on her front 6 lower teeth.
No numbing and about 2 1/2 hours later, beautiful result!
This patient has a beautiful smile but wanted more of her teeth to show. She did not want orthodontics or veneers, so we opted to use a laser to quickly and painlessly sculpt her gum tissues to make her teeth appear larger and more natural. Before and after are taken 1 week apart.
Beautiful!
This patient wanted bigger teeth and less gums showing when she smiled (First Before Photo). We ended up starting with a laser to re-contour her gums, combined with Zoom whitening and Clear Aligner Orthodontics to brighten and broaden her smile (2nd Before Photo). Once we were happy with the amount of teeth showing in her smile, we did some resin veneers on her front upper teeth to complete the process...beautiful! (After Photo)
This patient is getting married in 2 weeks and wants to improve her smile. We started with Zoom whitening. Then we placed an implant to replace a missing canine. Today we shaped her existing teeth for porcelain crowns, and delivered a custom-made temporary crown/bridge for her to wear during her wedding.
After the wedding and honeymoon, she will return for us to evaluate the temporary, make any requested adjustments, and then have her porcelain crowns made. We'll post the 'after' photo at that point!! But so far it looks great.
This patient wanted to close the spaces between his front teeth. He did not want to do any orthodontics, even though closing the spaces with just veneers or bonding would make the teeth a good bit wider than they were.
So first we used a laser to sculpt the gum tissues to lengthen the teeth, which would help prevent the newly bonded front teeth from looking too wide.
Then after some Zoom in-office bleaching, we fabricated resin bonded veneers using the Bioclear system to finish the case...beautiful result!
This patient tripped and broke her 2 front teeth. We discussed several ways to fix them, including porcelain and resin veneers. She opted for the resin veneers due to cost and it being an easier and faster procedure.
After about 1 1/2 hours we had her put back together with a beautiful result!
This patient was unhappy with the appearance of her upper front teeth. We discussed porcelain versus Bioclear resin veneers and she preferred Bioclear.
No numbing and about 2 1/2 hours later, a beautiful result and happy patient!
This patient grinds his teeth at night and chipped the front 2. We placed resin veneers to build them back to full contour, and are going to make him a nightguard to protect them while he sleeps.
Nice result!
This patient was unhappy with the worn, uneven edges of her front central teeth, as well as how the two smaller lateral incisor teeth appeared darker and "behind" the front two.
She completed Zoom whitening, then a couple of weeks later we did some cosmetic bonding and veneers to improve her smile. Great result!
This patient had consumed soft drinks and grinded his teeth for years, causing extensive erosion and tooth wear to the point that he would only smile with is mouth closed.
After extensive conversations, measurements, photos, and planning, we decided to protect his back teeth with porcelain crowns and his front teeth with porcelain veneers.
The Covid pandemic and his work schedule prevented him from coming back in for an 'after' photograph until recently, so the time difference between the 'before' and 'after' pics is a little over 3 1/2 years!
We discussed porcelain veneers and resin veneers, and this patient wanted to match his other front teeth with resin veneers. He did not want to close the space between the front 2 teeth.
No numbing, and about 1 1/2 hours later we were finished!
This patient's teeth had eroded from a combination of years of acid reflux and heavy grinding. After careful diagnostics, a full wax-up, photographs, and discussions of several different options, it was decided that restoring the teeth to their proper size and function with all-porcelain crowns was the best option to provide long-term protection and service. What a great result!
This patient came in complaining of a dark, broken front tooth. She had no pain, and asked if we could fix the tooth without doing a full crown.
No numbing, and 1 hour later we had created a beautiful resin veneer and our patient was ecstatic!
This patient was unhappy with her smile but wanted to avoid removing healthy tooth structure. We used the Bioclear system to create resin veneers and restored her to a beautiful smile without removing any tooth structure, and all in 1 appointment! Fantastic result!
This patient didn't like the appearance of her front two teeth. Years of acid erosion (lemons, acidic drinks) had worn the enamel and altered their appearance.
We opted for bonded resin veneers for their conservative nature and lower cost. No numbing and ~1 hour later, a great result!
This patient complained that he'd never been able to smile because he didn't like the way his teeth looked. After Zoom teeth whitening, we sculpted and bonded resin veneers to improve the shape and size of his upper front teeth. We also used a diode laser to improve the contour of his gum tissue above one of the 2 front incisors. Great result!
Worn, broken teeth caused this patient to avoid smiling. We decided to do a combination of porcelain veneers and crowns to fix and protect her teeth and give her something to smile about!
This patient wore braces for over a year but couldn't get the short front tooth to move. We discussed porcelain veneers and bonded resin veneers, and she opted for the bonded resin veneer due to the lower cost and single-appointment fix.
After about an hour, we achieved a beautiful result! She actually asked which tooth we'd worked on when we gave her a mirror to see the final result :)
We discussed resin versus porcelain veneers and decided this was a perfect case for resin bonded veneers.
No numbing, About 2 hours of sculpting and polishing, and we ended up with a great result!
This patient did not like the gap between her upper front teeth. Braces / Invisalign were not an option she was interested in. So we used porcelain crowns / veneers to close the space and wow what a nice result!
We quickly fixed this patient's chipped front tooth with cosmetic bonding. No numbing and about 30 minutes later she was back on her way to class!
A quick Zoom Whitening appointment whitened this patients teeth almost 10 shades!
What a great result! Single visit, took about an hour, happy patient! Next week we're doing porcelain restorations to improve the size and shape of her front teeth, and also putting a tooth on her implant that can be seen in the photos.
This patient had worn braces in the past and did not want to wear them again. She also did not want porcelain veneers. She was unhappy with how her 2 front teeth seemed so much more prominent and "big" in pictures.
We did a little laser gum re-contouring and then bonded resin veneers in order to lengthen her teeth as well as to bring the 2 smaller front teeth out and in line with the 2 central teeth. Good result for a difficult situation!
This patient was unhappy with the anterior open bite / short-appearing teeth. He'd had consults for surgery and braces, but did not want to go that route. We looked over several options and decided together that veneers would be an acceptable alternative treatment. And he is thrilled with the result...which is why we love doing what we do!
This patient had considered whitening her teeth for years before finally decided to try the Zoom! in-office whitening. After a single 1-hour appointment her teeth lightened approximately 8 shades!
This patient had a porcelain veneer that was pulled off when she removed her "Smile Direct" clear aligner. She then lost the veneer. Instead of a new porcelain veneer she requested a bonded resin veneer. After a single 45-minute appointment, she left with a fantastic result!
This patient felt her small "lateral incisors" next to the upper central teeth were too small. She also didn't like how one central tooth was shorter than the other.
After some planning, we were able to fix her smile in 1 appointment. These are cosmetic bonded veneers. What a beautiful result!
This patient was unhappy with old, stained resin on her front teeth. We discussed porcelain veneers versus cosmetic bonding, and decided to go with the more conservative cosmetic bonding. We had to do some slight gum recontouring to even out the widths of the 2 teeth (which can be seen in the photo where the gum tissue is a little irritated), and we achieved a beautiful result after a single appointment!
This patient felt her teeth were too small and she showed too much gum tissue when she smiled. After a consultation with photographs and measurements, we decided that some simple, pain-free cosmetic gum re-contouring with a laser would give her the smile she was after. These 2 photographs were taken about a week apart. Great result!!
This sweet patient already had a beautiful smile, but she felt that her gums were too "puffy" and the front side teeth were too small.
So we used a laser to reduce the "puffiness" of the gum tissues, and allowed a week for the gums to settle into their new position. Then we used cosmetic bonded veneers on the two side teeth to add length and width to make them more proportional to her other teeth.
What a beautiful result!
Using a new clear aligner system called "Smart Moves", we were able to successfully close the space between his upper front 2 teeth. Once the space closed, a little cosmetic bonding to improve and re-contour a few spots, and it is a great result!
4 months of clear aligners to move his teeth into a more ideal position, followed by cosmetic bonding on the front 6 teeth. Happy patient and beautiful result!
1 hour and no numbing, and we had this fantastic result and a very happy patient!
This was a challenge--covering the dark staining with translucent bonding material. But the patient was thrilled with the result! Using a special "opaquing" layer under the resin, we were able to be very conservative while still significantly lightening the shade of his teeth.
This patient was unhappy with spacing between her teeth, as well as some wearing-down at the incisal edges. We discussed several options, but for the short-term she opted for cosmetic bonding to address the cosmetic issues bothering her. No numbing, single-appointment, great result!
After a single appointment we were able to give this patient a beautiful new smile! We initially discussed orthodontics and porcelain veneers, but in the end we decided on bonded resin veneers. She can now smile with confidence!
This patient was unhappy with the space between his front teeth, and initially requested porcelain veneers. After discussions we decided a better, more conservative option would be to close the space with Clear Correct aligners. This great result was achieved after only 5 months!
This patient had tried several at-home whitening systems but was still not happy with the results. We used the Kor take-home and in-office whitening, and her teeth lightened approximately 9 shades!
This patient felt her gums showed too much when she smiled. A laser was used to gently re-shape some areas, and after less than 2 weeks what a great result!
This patient had tried whitening many times in the past without success. Her teeth have tetracycline stains from taking the antibiotics as a child, and most whitening systems have trouble with this type of stain. However, after using Kor whitening both at-home and in-office, her teeth lightened by 8+ shades!
This patient had avoided the dentist for years. Frequent sodas and energy drinks had caused the widespread cavities seen in the 'before' image. She had a party in 4 days and wanted to improve her smile. Due to the limited time we were not able to treat the posterior teeth at this appointment, but after about 2 1/2 hours her upper front teeth were much improved, and she was thrilled!
This patient wanted his spaces closed. After gradually and comfortably moving his teeth into an ideal position we were able to do minimal cosmetic bonding to finish his fantastic new smile!
This patient asked about removing a spot on his gums. He was constantly asked about it, and it made him self-conscious about smiling. After a painless 5-minute laser gum treatment he went home, and returned a few days later smiling with the spot gone!
This patient's front tooth was tilted and rotated, resulting in a gap between the front 2 teeth. With Clear Correct clear aligners we were able to close the gap and straighten the teeth. Some cosmetic bonding on the neighboring teeth was done to improve symmetry and the final result!
This patient just finished orthodontics and wanted to improve the appearance of this lower front tooth. It had fractured a few years ago and was stained. We discussed a porcelain veneer and bonding, and she opted for bonding. After an easy 30-minute appointment she left with a beautiful result!
This young lady was born without her front tooth. After wearing braces to straighten everything out, we discussed an implant versus a "Maryland Bridge". She decided on the bridge for now and may consider an implant in the future. We're all thrilled with the result!
This patient did not like how her lower front tooth stuck out from the others. It was uncomfortable and was hard to clean. We were able to get it back in line with a 6-month treatment using Clear Correct aligners. A great result!
This patient had spent years not liking the appearance of her front teeth. She felt they were chipped and stained, and was reluctant to smile in public. After discussing her desires, a diagnostic waxup was created which allowed us to "try in" her new smile before actually doing any treatment. Once she was happy with where we planned on ending up, we proceeded with placing porcelain veneers on her top front teeth.
This patient felt her old porcelain over metal bridge on her front teeth looked bulky and fake, and was reluctant to smile in public. We replaced it with a beautiful new metal-free bridge that is much more lifelike and feminine!
This patient was ready to improve his smile and did not want to go through orthodontics, so we discussed other options. Through a combination of 2 porcelain crowns and 2 porcelain veneers we were able to achieve a great result in only 2 visits!
Straight teeth, great result! This one took us a little longer than expected because she lost her first Inman Aligner while out-of-town. We had a duplicate made and after about 6 months were finished. Happy patient, happy dentist!
Mary did not like the appearance of her crowded front teeth, and she did not want to wear braces. Together we decided the removable Inman Aligner would be a great option for her. Mary was able to take it out while eating and cleaning her teeth. This result is after only 8 weeks!
This patient had suffered from too much gum tissue for years. Not only was is painful when she was eating, but she didn't like how it looked and as a result did not smile in public. In 2 easy appointments, we were able to comfortably and predictably re-shape her gum tissue using a laser. We then did some cosmetic bonding to close the spaces between her teeth and improve tooth-size proportions. She reported having no discomfort after the procedure, and is thrilled with the result. Now she loves her "new" smile that had been there all along!
This patient wanted a bigger, brighter smile. She already had nice teeth, but thought they were too small and dark. After careful evaluation and planning, we had new porcelain veneers fabricated to enhance her already beautiful smile.
This patient did not like how her front teeth were so crowded and uneven. She commented that she didn't smile in photographs, and was self-conscious in public. We made her an Inman Aligner that she wore daily for 4 months, then when her teeth were straight, did some cosmetic bonding to add length to her shorter lateral incisors. It is a fantastic result!
This patient wanted her broken front tooth fixed, and asked if we could close the space between the teeth at the same time. After a short appointment, she was thrilled with the result!
This patient had neglected her teeth for some time and said she'd just stopped looking in the mirror. She's a school teacher, and with classes starting in a few weeks she decided it was time to fix them. We discussed porcelain veneers versus bonding, and due to time and cost, she opted for bonding. After a short 1-hour appointment, she's able to smile with confidence again!
With Kor Whitening, we are able to get good results even on the darkest, most difficult teeth that traditional whitening systems are unable to whiten.
This patient broke his front tooth playing sports. It was not painful or sensitive; he was just concerned with the way it looked. Without numbing the tooth we were able to match his existing tooth characteristics and color, and he went home happy after a 10-15 minute appointment.
This patient wanted to brighten her smile quickly and painlessly before her wedding. She'd tried over-the-counter bleaching systems with unsatisfactory results. We told her about our best whitening system, Kor. After 2 weeks of at-home Kor whitening, she returned for an in-office treatment and WOW! What a great result--11 shades whiter!
This patient had been wearing a removable partial denture for years and was not happy with it. He complained of it moving while he chewed, and said he could not eat many of the foods that he enjoyed. After careful planning, 5 mini dental implants were placed, and a custom bridge was cemented into place. He is now able to chew food again on that side, and he does not have to worry about removing his teeth at night before bed. He called the day after the implants were placed to let us know he was on his way out ...
This patient was unhappy with the spaces between her front teeth. We discussed different ways to close the spaces, and she wanted to proceed with cosmetic bonding. She was very happy with the result, and even asked which teeth we had added the bonding material to when it was completed!
This large metal filling was done many years ago. The patient was aware of it any time she smiled or laughed, and asked about replacing it. We were able to give the tooth long-term protection as well as satisfy the patient's cosmetic concerns with a beautiful porcelain crown
This patient broke his front porcelain crown while playing sports. After removing the old crown and cleaning up the tooth, we took photos and impressions and had a new porcelain crown made.
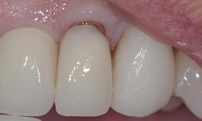
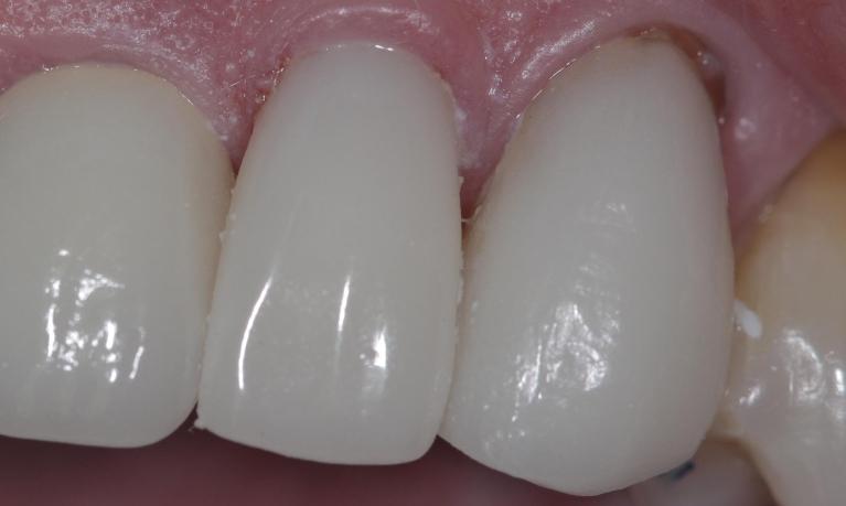
This patient's old crown was failing and had a cavity forming where the dark area is visible near the gum line. We were able to remove the old crown, fix the decay, and fabricate a beautiful, new porcelain crown to match her other teeth perfectly!
This young lady came to us with a cracked porcelain crown (in the picture it appears as a vertical line running down the middle of the tooth on the left side of the "before" photo. We were able to replace it with a beautiful new porcelain crown in no time...happy patient!
This nice patient had dark, stained, and worn teeth. With porcelain veneers, her smile immediately looks bigger, brighter, and many years younger!
Many whitening systems cannot get good results with deep stains often caused by medications taken as a child. Kor Whitening, with its unique fabrication process and precise-fitting trays, is the only system I am aware of that can achieve these great results on what is generally considered one of the most difficult stains to remove. This was a phenomenal result!
New resin veneers to replace old, stained veneers. No numbing, 1 1/2 hours later a beautiful result! I only wish I'd removed the small piece of polishing 'dust' on her L veneer before I'd taken the picture :)
This patient was unhappy with the small size and spaces between her front teeth. With a combination of cosmetic bonding and veneers, we were able to improve an already beautiful smile!
I just wanted to thank Dr. Cook so much for the beautiful new smile he gave me! It's absolutely stunning! Dr. Cook really is a great dentist. Thanks again! Anyone looking for the best should definitely see Dr. Cook.
Ashley H. from Talladega
October 2014