Cook Family and Cosmetic Dentistry
WE ARE NOT A CHAIN OR CORPORATE DENTAL OFFICE :)
  • Family Dentist Birmingham
  • Dentist Birminghim AL | Dentists Near Me
  • Cook Family Dentistry
Family Denist Birmingham | Dentists Near Me

Meet the Doctor

Dr. Cook's genuine concern for your well-being ensures that you will always receive outstanding dental care.

Read More »
Cosmetic Dentist Birmingham AL

About Our Office

Our friendly professional team works hard to make you comfortable so that every visit is enjoyable and stress-free.

Read More »
Dentist Birmingham AL | Cook Family Dentistry

Services & Procedures

We stay current with the latest dental treatments to provide you with the services you need for excellent oral health.

Read More »

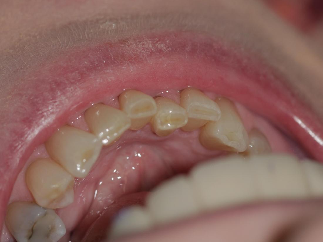
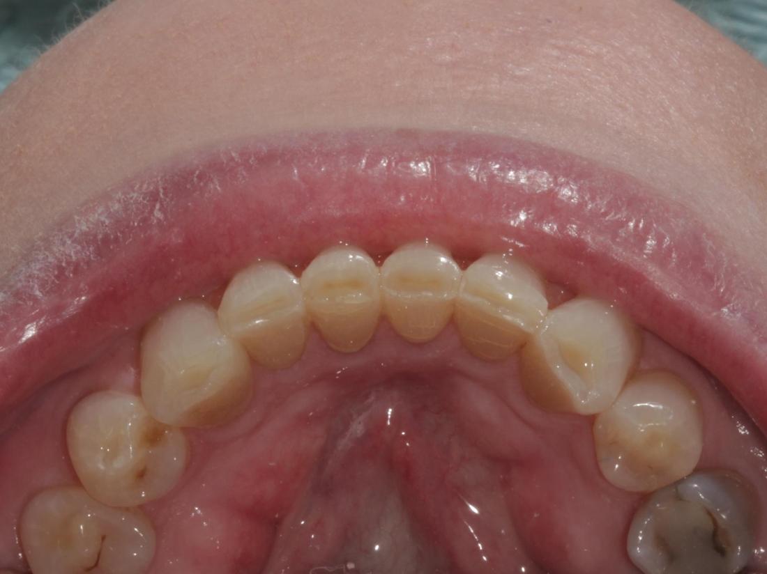
Inman Aligner

Mary did not like the appearance of her crowded front teeth, and she did not want to wear braces. Together we decided the removable Inman Aligner would be a great option for her. Mary was able to take it out while eating and cleaning her teeth. This result is after only 8 weeks!

Improve your smile today – call to schedule a consultation!
If you have difficulty using our website, please email us or call us at (205) 326-6384