Cook Family and Cosmetic Dentistry
WE ARE NOT A CHAIN OR CORPORATE DENTAL OFFICE :)
  • Family Dentist Birmingham
  • Dentist Birminghim AL | Dentists Near Me
  • Cook Family Dentistry
Family Denist Birmingham | Dentists Near Me

Meet the Doctor

Dr. Cook's genuine concern for your well-being ensures that you will always receive outstanding dental care.

Read More »
Cosmetic Dentist Birmingham AL

About Our Office

Our friendly professional team works hard to make you comfortable so that every visit is enjoyable and stress-free.

Read More »
Dentist Birmingham AL | Cook Family Dentistry

Services & Procedures

We stay current with the latest dental treatments to provide you with the services you need for excellent oral health.

Read More »

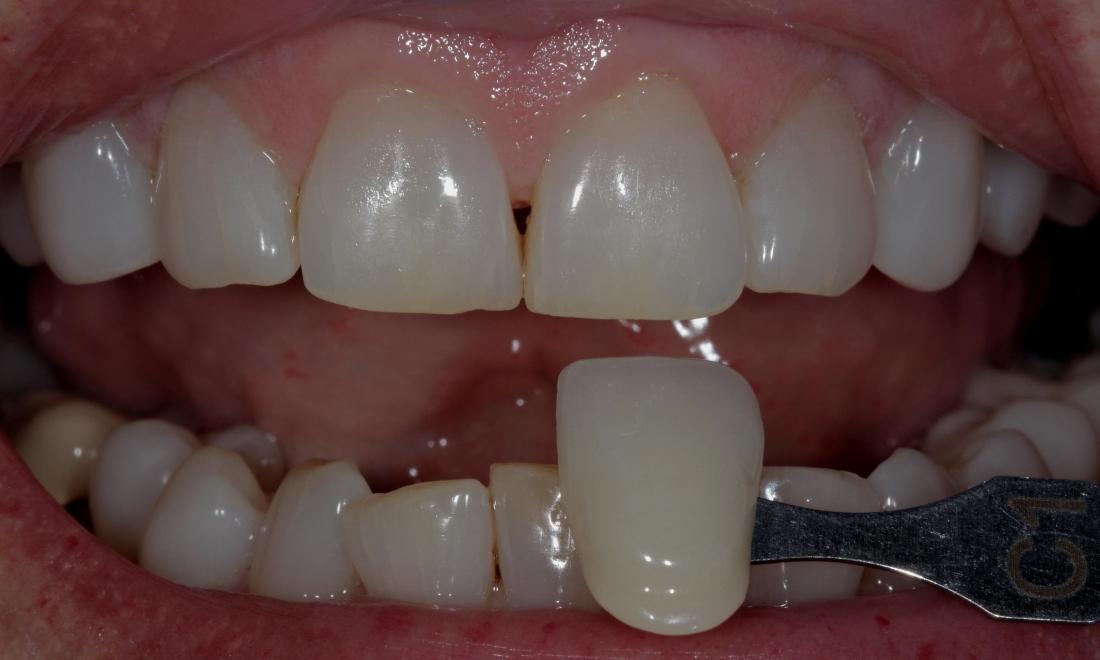
Zoom! Teeth Whitening Before and After

This patient had considered whitening her teeth for years before finally decided to try the Zoom! in-office whitening. After a single 1-hour appointment her teeth lightened approximately 8 shades!

Related Services:

Zoom! Teeth Whitening
Very Comfortable!
Ready to book an appointment?
If you have difficulty using our website, please email us or call us at (205) 326-6384
View the ADA Accessibility Statement