Cook Family and Cosmetic Dentistry
WE ARE NOT A CHAIN OR CORPORATE DENTAL OFFICE :)
  • Family Dentist Birmingham
  • Dentist Birminghim AL | Dentists Near Me
  • Cook Family Dentistry
Family Denist Birmingham | Dentists Near Me

Meet the Doctor

Dr. Cook's genuine concern for your well-being ensures that you will always receive outstanding dental care.

Read More »
Cosmetic Dentist Birmingham AL

About Our Office

Our friendly professional team works hard to make you comfortable so that every visit is enjoyable and stress-free.

Read More »
Dentist Birmingham AL | Cook Family Dentistry

Services & Procedures

We stay current with the latest dental treatments to provide you with the services you need for excellent oral health.

Read More »

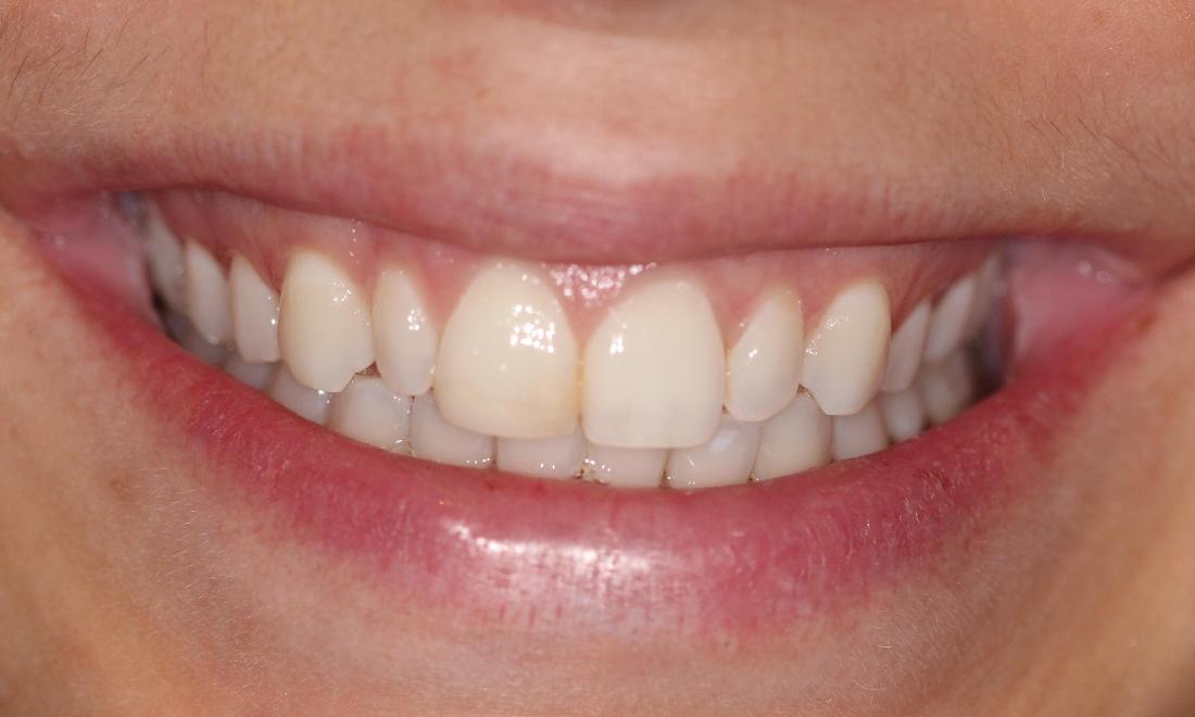
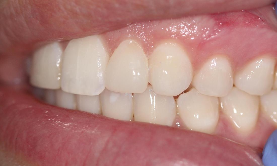
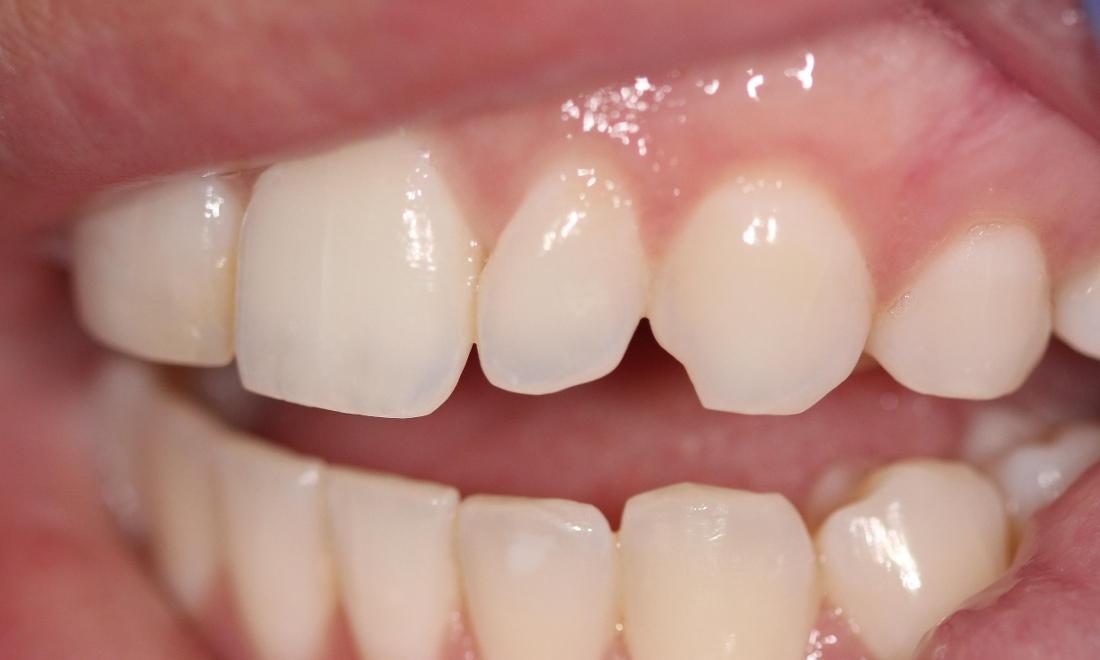
Cosmetic bonding to improve her smile

This patient felt her small "lateral incisors" next to the upper central teeth were too small.  She also didn't like how one central tooth was shorter than the other.  

After some planning, we were able to fix her smile in 1 appointment.  These are cosmetic bonded veneers.  What a beautiful result!

Service Performed By:

Aaron Cook
Ashley
Ready to book an appointment?
If you have difficulty using our website, please email us or call us at (205) 326-6384
Privacy Policy