Cook Family and Cosmetic Dentistry
WE ARE NOT A CHAIN OR CORPORATE DENTAL OFFICE :)
  • Family Dentist Birmingham
  • Dentist Birminghim AL | Dentists Near Me
  • Cook Family Dentistry
Family Denist Birmingham | Dentists Near Me

Meet the Doctor

Dr. Cook's genuine concern for your well-being ensures that you will always receive outstanding dental care.

Read More »
Cosmetic Dentist Birmingham AL

About Our Office

Our friendly professional team works hard to make you comfortable so that every visit is enjoyable and stress-free.

Read More »
Dentist Birmingham AL | Cook Family Dentistry

Services & Procedures

We stay current with the latest dental treatments to provide you with the services you need for excellent oral health.

Read More »

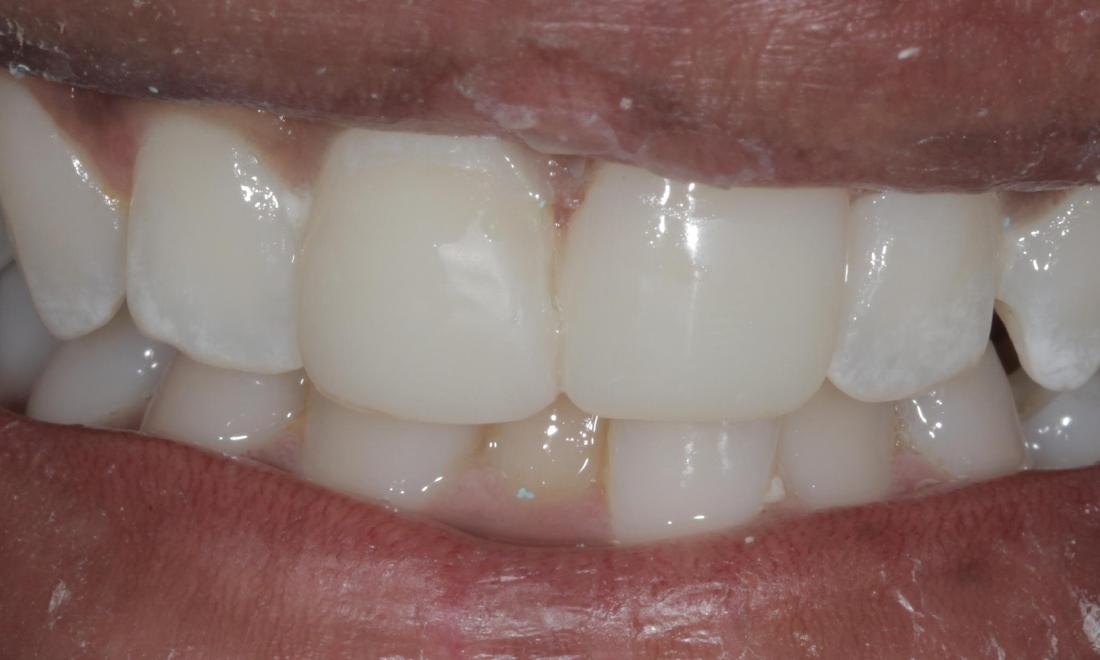
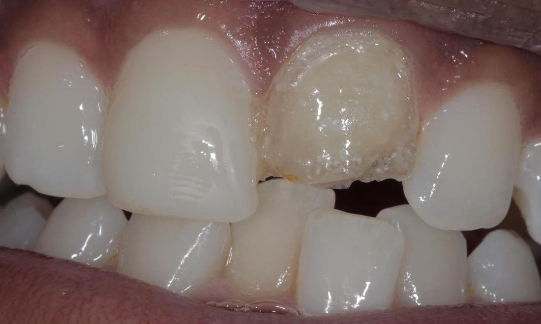
Cosmetic bonded veneer

This patient had a porcelain veneer that was pulled off when she removed her "Smile Direct" clear aligner.  She then lost the veneer.  Instead of a new porcelain veneer she requested a bonded resin veneer.  After a single 45-minute appointment, she left with a fantastic result!

Ready to book an appointment?
If you have difficulty using our website, please email us or call us at (205) 326-6384