Cook Family and Cosmetic Dentistry
WE ARE NOT A CHAIN OR CORPORATE DENTAL OFFICE :)
  • Family Dentist Birmingham
  • Dentist Birminghim AL | Dentists Near Me
  • Cook Family Dentistry
Family Denist Birmingham | Dentists Near Me

Meet the Doctor

Dr. Cook's genuine concern for your well-being ensures that you will always receive outstanding dental care.

Read More »
Cosmetic Dentist Birmingham AL

About Our Office

Our friendly professional team works hard to make you comfortable so that every visit is enjoyable and stress-free.

Read More »
Dentist Birmingham AL | Cook Family Dentistry

Services & Procedures

We stay current with the latest dental treatments to provide you with the services you need for excellent oral health.

Read More »

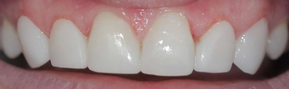
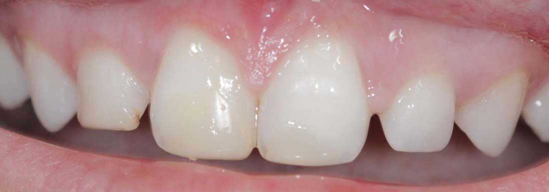
Resin veneers to improve smile

This patient was unhappy with old, stained resin on her front teeth.  We discussed porcelain veneers versus cosmetic bonding, and decided to go with the more conservative cosmetic bonding.   We had to do some slight gum recontouring to even out the widths of the 2 teeth (which can be seen in the photo where the gum tissue is a little irritated), and we achieved a beautiful result after a single appointment!  

Not finding what you need?
If you have difficulty using our website, please email us or call us at (205) 326-6384