Cook Family and Cosmetic Dentistry
WE ARE NOT A CHAIN OR CORPORATE DENTAL OFFICE :)
  • Family Dentist Birmingham
  • Dentist Birminghim AL | Dentists Near Me
  • Cook Family Dentistry
Family Denist Birmingham | Dentists Near Me

Meet the Doctor

Dr. Cook's genuine concern for your well-being ensures that you will always receive outstanding dental care.

Read More »
Cosmetic Dentist Birmingham AL

About Our Office

Our friendly professional team works hard to make you comfortable so that every visit is enjoyable and stress-free.

Read More »
Dentist Birmingham AL | Cook Family Dentistry

Services & Procedures

We stay current with the latest dental treatments to provide you with the services you need for excellent oral health.

Read More »

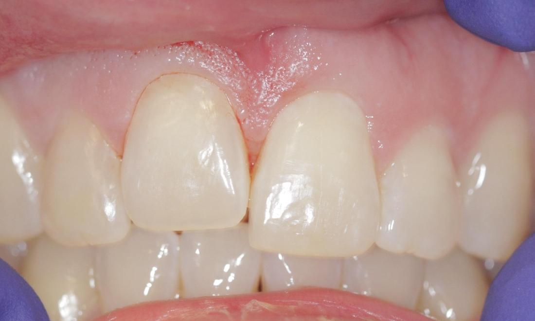
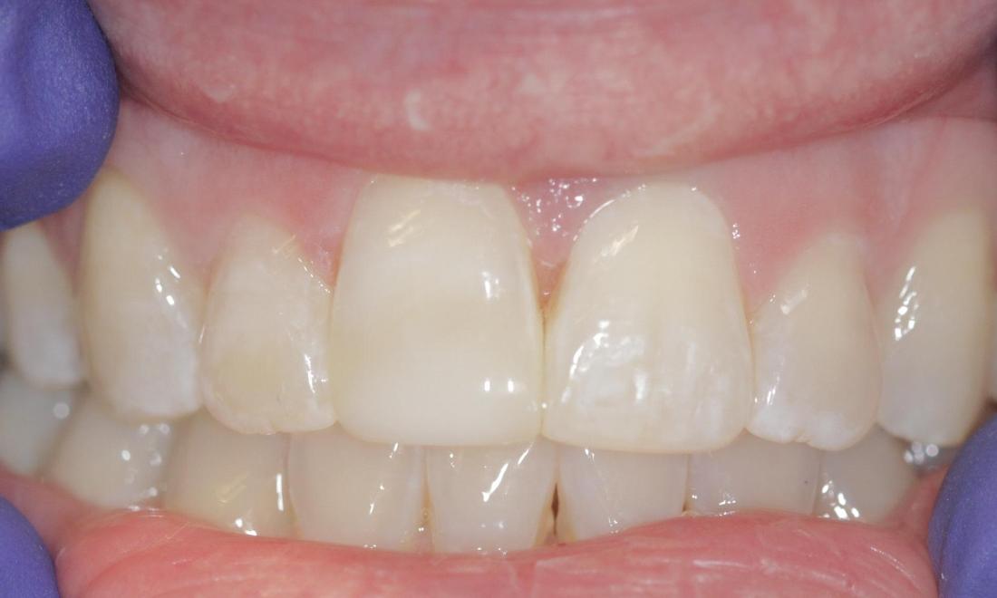
Cosmetic bonding to lengthen a short front tooth

This patient wore braces for over a year but couldn't get the short front tooth to move.  We discussed porcelain veneers and bonded resin veneers, and she opted for the bonded resin veneer due to the lower cost and single-appointment fix.

After about an hour, we achieved a beautiful result!  She actually asked which tooth we'd worked on when we gave her a mirror to see the final result :)

Very Comfortable!
Ready to book an appointment?
If you have difficulty using our website, please email us or call us at (205) 326-6384
View the ADA Accessibility Statement