Meet the Doctor
Dr. Cook's genuine concern for your well-being ensures that you will always receive outstanding dental care.
About Our Office
Our friendly professional team works hard to make you comfortable so that every visit is enjoyable and stress-free.
Services & Procedures
We stay current with the latest dental treatments to provide you with the services you need for excellent oral health.
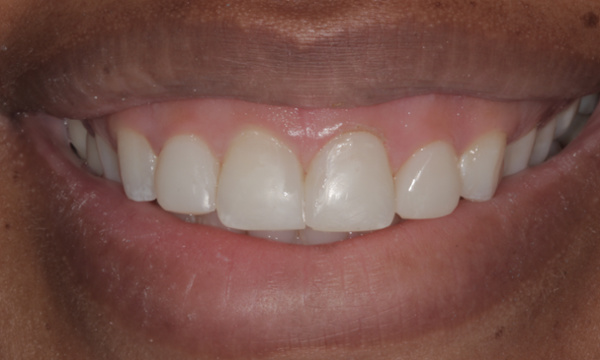
2 hours, 4 resin veneers, beautiful result!