Smile Gallery: Zoom! Teeth Whitening
It's true that a picture is worth a thousand words. Take a moment to browse through our Smile Gallery to see some of the transformations we've helped our patients achieve with dental crowns and bridges. A dental crown or bridge can do more than just change your smile. It can improve your everyday life.
Check our our service page for more information about crowns and bridges in the Birmingham area. Or click here to schedule a consultation with one of of our dentists.
A phased treatment, beginning with clear orthodontic aligners, then porcelain and resin veneers to give her a new, beautiful smile!
4 upper and 2 lower resin veneers really made a big difference!
Old, stained resin veneers removed and replaced with new resin veneers. No numbing, total time about 1 1/2 hours. Beautiful result!
No numbing, no discomfort, and about 4 hours later. 6 upper veneers and 4 lower veneers...what a beautiful result!
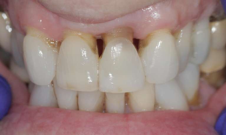
This patient was unhappy with her old resin veneers that she thought were ~20 years old. She also wanted to whiten her teeth a bit, so we set her up for an in-office Zoom whitening, then replaced her old veneers with new resin veneers. No numbing, no discomfort, beautiful result!!
This patient has a beautiful smile but wanted more of her teeth to show. She did not want orthodontics or veneers, so we opted to use a laser to quickly and painlessly sculpt her gum tissues to make her teeth appear larger and more natural. Before and after are taken 1 week apart.
Beautiful!
This patient wanted bigger teeth and less gums showing when she smiled (First Before Photo). We ended up starting with a laser to re-contour her gums, combined with Zoom whitening and Clear Aligner Orthodontics to brighten and broaden her smile (2nd Before Photo). Once we were happy with the amount of teeth showing in her smile, we did some resin veneers on her front upper teeth to complete the process...beautiful! (After Photo)
This patient is getting married in 2 weeks and wants to improve her smile. We started with Zoom whitening. Then we placed an implant to replace a missing canine. Today we shaped her existing teeth for porcelain crowns, and delivered a custom-made temporary crown/bridge for her to wear during her wedding.
After the wedding and honeymoon, she will return for us to evaluate the temporary, make any requested adjustments, and then have her porcelain crowns made. We'll post the 'after' photo at that point!! But so far it looks great.
This patient wanted to close the spaces between his front teeth. He did not want to do any orthodontics, even though closing the spaces with just veneers or bonding would make the teeth a good bit wider than they were.
So first we used a laser to sculpt the gum tissues to lengthen the teeth, which would help prevent the newly bonded front teeth from looking too wide.
Then after some Zoom in-office bleaching, we fabricated resin bonded veneers using the Bioclear system to finish the case...beautiful result!
This patient was unhappy with the worn, uneven edges of her front central teeth, as well as how the two smaller lateral incisor teeth appeared darker and "behind" the front two.
She completed Zoom whitening, then a couple of weeks later we did some cosmetic bonding and veneers to improve her smile. Great result!
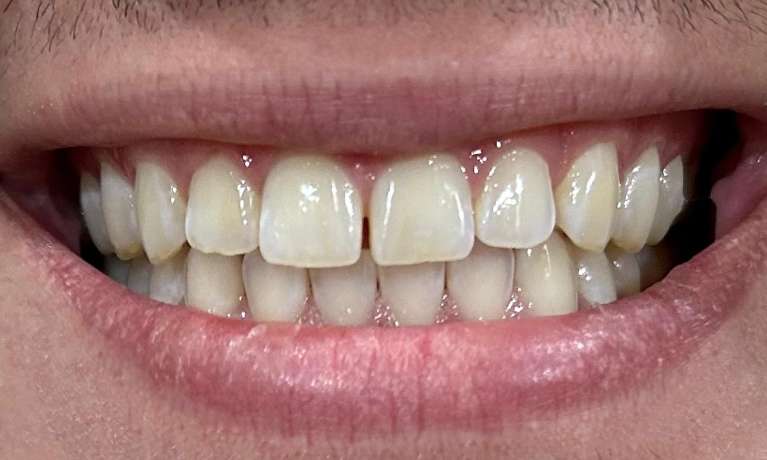
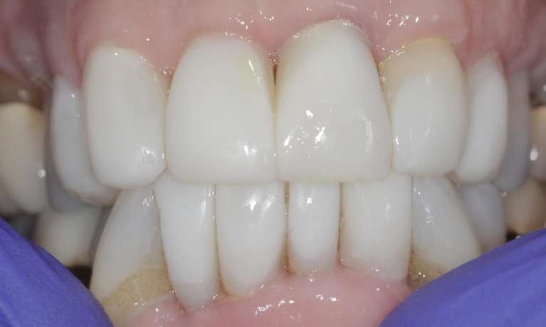
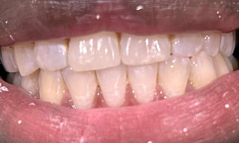
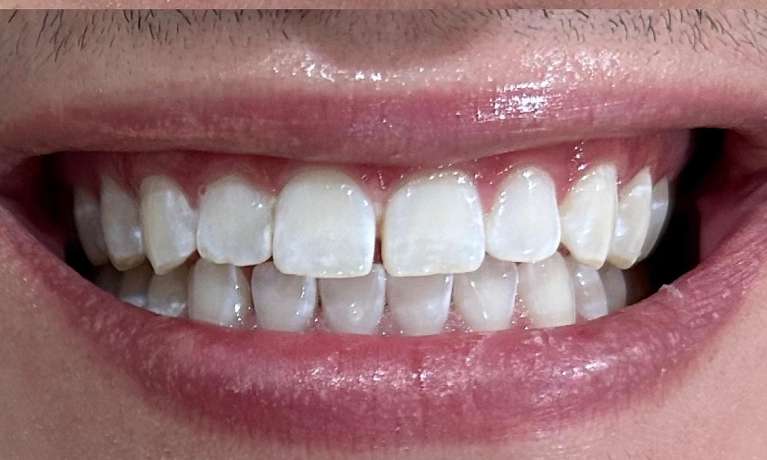
This patient complained that he'd never been able to smile because he didn't like the way his teeth looked. After Zoom teeth whitening, we sculpted and bonded resin veneers to improve the shape and size of his upper front teeth. We also used a diode laser to improve the contour of his gum tissue above one of the 2 front incisors. Great result!
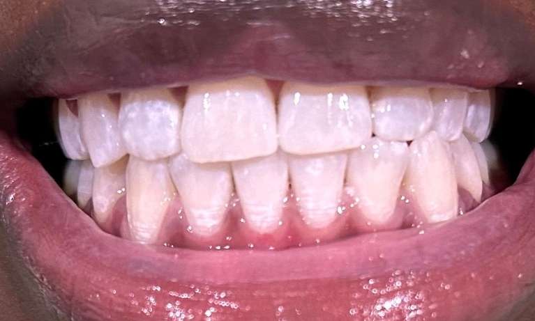
A quick Zoom Whitening appointment whitened this patients teeth almost 10 shades!
What a great result! Single visit, took about an hour, happy patient! Next week we're doing porcelain restorations to improve the size and shape of her front teeth, and also putting a tooth on her implant that can be seen in the photos.
This patient had considered whitening her teeth for years before finally decided to try the Zoom! in-office whitening. After a single 1-hour appointment her teeth lightened approximately 8 shades!
This patient had tried several at-home whitening systems but was still not happy with the results. We used the Kor take-home and in-office whitening, and her teeth lightened approximately 9 shades!