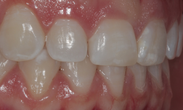
This patient was unhappy with the small size and spaces between her front teeth. With a combination of cosmetic bonding and veneers, we were able to improve an already beautiful smile!
Place mouse over picture to pause
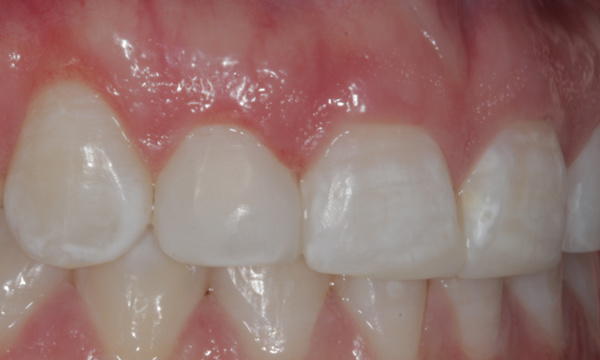
This patient was unhappy with the small size and spaces between her front teeth. With a combination of cosmetic bonding and veneers, we were able to improve an already beautiful smile!