Cook Family and Cosmetic Dentistry
WE ARE NOT A CHAIN OR CORPORATE DENTAL OFFICE :)
  • Family Dentist Birmingham
  • Dentist Birminghim AL | Dentists Near Me
  • Cook Family Dentistry
Family Denist Birmingham | Dentists Near Me

Meet the Doctor

Dr. Cook's genuine concern for your well-being ensures that you will always receive outstanding dental care.

Read More »
Cosmetic Dentist Birmingham AL

About Our Office

Our friendly professional team works hard to make you comfortable so that every visit is enjoyable and stress-free.

Read More »
Dentist Birmingham AL | Cook Family Dentistry

Services & Procedures

We stay current with the latest dental treatments to provide you with the services you need for excellent oral health.

Read More »

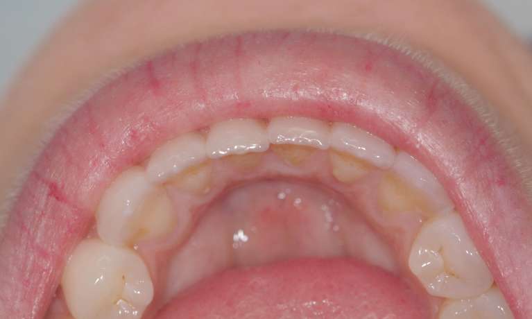
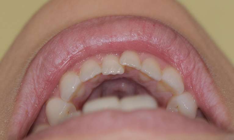
Smile Gallery: Inman Aligners & Clear Aligners (Smart Moves, Invisalign, Clear Correct...)

It's true that a picture is worth a thousand words. Take a moment to browse through our Smile Gallery to see some of the transformations we've helped our patients achieve with dental crowns and bridges. A dental crown or bridge can do more than just change your smile. It can improve your everyday life. 

Check our our service page for more information about crowns and bridges in the Birmingham area. Or click here to schedule a consultation with one of of our dentists.

Have Questions? Get in Touch
If you have difficulty using our website, please email us or call us at (205) 326-6384
View the ADA Accessibility Statement