Invisible Braces in Birmingham, AL
An attractive, confident smile is a joy to see! Society today values a beautiful smile more than ever, especially with all of the opportunities for photos and presence on social media.
Having a properly aligned smile is an asset in social situations and improves your confidence in your appearance.
For many patients who want a straight, healthy smile, traditional orthodontics may seem cumbersome and like too much of an invasion on your day-to-day appearance. However, with so many modern orthodontic options available, there's never been a better time to straighten your teeth. For patients wanting a more discreet option for orthodontic treatment, Dr. Aaron Cook is pleased to offer revolutionary Inman Aligners and several options for invisible braces in our Birmingham, AL dental office.
- What are Inman Aligners?
- What are my options for invisible braces?
- What are the benefits of choosing invisible braces?
- Why should I straighten my teeth?
- Which problems can invisible braces correct?
- Which option is right for me?
- Does dental insurance cover invisible braces?
What are Inman Aligners?
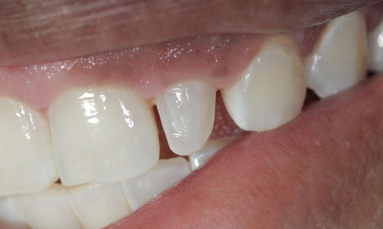
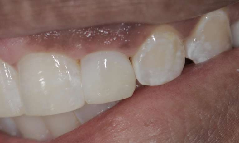
Inman Aligners are a relatively new orthodontic innovation and are an affordable option for straightening the teeth that show when you smile. Patients at our Birmingham dental office are especially impressed with Inman Aligners because they provide desired results in as little as six weeks. They are also completely removable for brushing, flossing, and eating.
Using a patented process, Inman Aligners gently guide your front teeth into their ideal position in a matter of weeks. Treatment is quick and efficient because, with Inman Aligners, the goal is not to correct a misaligned dental bite but to address the alignment of the front teeth that are visible when you smile.
Options for invisible braces in Birmingham
Transparent aligner systems like Invisalign, ClearCorrect, Smart Moves use BPA-free clear, plastic aligner trays that gradually move your teeth into better, more aesthetic alignment. We start by taking a digital scan of your teeth and developing your personalized treatment plan. Next, we will upload your scan to the lab to create your first series of aligner trays.
When your customized aligners are ready, we’ll have you return to our office to explain how to use them to achieve the fastest results. Be sure to wear each set of aligners for at least 22 hours each day for two weeks. At the end of the two weeks, treatment with change to the next set of aligners in the series.
We will have you come to our office periodically during your treatment to make sure your teeth are progressing as planned and no adjustments are needed (unlike some mail-order clear aligner companies that send the entire series of aligners on day one leaving you on your own). These appointments are important because we can make adjustments as necessary during treatment to ensure optimal results as quickly as possible and ensure there are not any problems afterward.
What are the benefits of choosing invisible braces?
Here are some benefits of using clear aligners like Smart Moves, ClearCorrect, and Invisalign to straighten your teeth:
- Removable trays – You can take them out to eat meals and clean your teeth.
- Comfort – The aligners are made of smooth plastic with no sharp edges to poke or irritate your cheeks and gums.
- Discreet – Most people won’t notice you are wearing your aligners.
- Low-force pressure – The aligners use constant low-force pressure to move your teeth.
Patients who opt for treatment with clear aligners like ClearCorrect or Invisalign in Birmingham, AL appreciate their convenience, and many tell us they wish they had done it sooner!
Why should I straighten my teeth?
Besides giving your confidence a boost, straight teeth can also help you achieve better oral health by eliminating overlapping that can make them more susceptible to decay. Crowded teeth that overlap are often harder to brush and floss effectively, which increases your chances of developing dental problems like tooth decay and gum disease. Proper alignment also makes teeth easier to restore if you need fillings, crowns, or veneers.
You might also encounter issues if your bite is not aligned correctly. When teeth aren't working together correctly during chewing as they were designed to do, the jaw joint (TMJ) has to compensate, which could result in pain, or popping, clicking, or locking of the jaw. It might also mean premature wear and tear to your teeth. Straightening your teeth and correcting your bite protects your jaw joint and your teeth from the damage that can occur when teeth are not aligned properly.
Which problems can invisible braces correct?
Invisible braces with clear aligners systems can correct several problems with your teeth, such as:
- Crowded or rotated teeth
- Overbite
- Crossbite
- Gaps or spaces between teeth
- Underbite
Contact Cook Family Dental to determine if invisible braces in Birmingham are the right solution for you.
Which option is right for me?
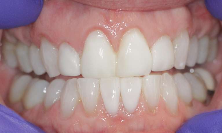
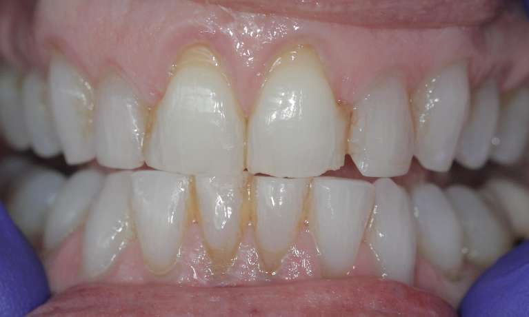
Dr. Cook is a certified provider of Inman Aligners and clear aligner systems like Invisalign, ClearCorrect, or Smart Moves. This means he is trained to determine if invisible braces are the right treatment for your needs and which method would be the best to achieve your goals for your smile.
Invisible braces are not a one-size-fits-all treatment. Every patient is unique, and each person's needs are different, which is why the best way to determine the right option for you is to schedule an evaluation with Dr. Cook that will include a complete examination, x-rays, and photos of your teeth. He will make recommendations on which system will best suit your needs so you can decide if you're ready to take the next step toward a straighter, more beautiful smile.
If you move forward with invisible braces, Dr. Cook will use 3-D imaging to create your treatment plan, and he'll even be able to show you what your new smile will look like after you complete your treatment!
Does dental insurance cover invisible braces?
The price for treatment with invisible braces does vary with each patient's specific needs depending on the length and complexity of their case. However, in most cases, treatment
with a clear aligner system is comparable to the cost of traditional braces.
If you have dental insurance, many plans include an orthodontic benefit that can be applied toward treatment with invisible braces, which will help reduce your out-of-pocket cost for your new smile. Our financial coordinator is happy to research your benefits and determine if your dental insurance can help with your treatment.
We also work with companies who can provide financing that would allow you to make monthly payments for your treatment with invisible braces. Third-party financing can be an ideal way to fit your treatment into your budget without breaking the bank. Please contact our Birmingham, AL dental office for more information about your payment options or dental insurance coverage for invisible braces.
Contact Us to Learn More about Your Options Orthodontic Treatment
If you want to learn more about Inman Aligners or ClearCorrect treatment in Birmingham, AL, give Cook Family Dental a call today at (205) 564-9319. We can schedule a complimentary consultation with Dr. Cook so he can answer your questions and help you make a confident decision about your smile!

If you are unhappy with mild to moderate tooth crowding or misalignment, you may not need or want extensive orthodontic treatment. You are in luck because today you are not limited to bulky metal braces to get the look you desire;