Dental Crowns and Bridges in Birmingham, AL
Do damaged or missing teeth cause you to hide your smile? The problem is not just aesthetic; you may also experience discomfort and have difficulty chewing and speaking correctly.
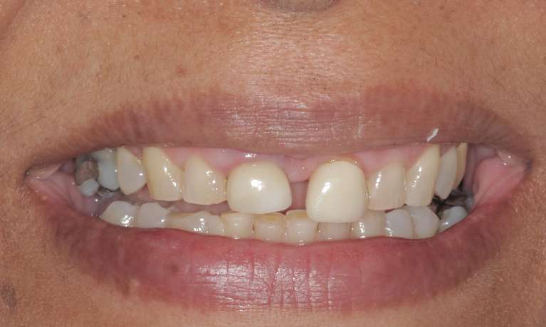
Crowns and bridges in Birmingham, AL, are effective dental restorations and, depending on your situation, may be the best solution to return your smile to a whole and healthy state.
Dental Crowns Restore and Protect
Dental crowns are an essential restoration and have many key roles in dentistry. On their own, dental crowns aid in the following:
- Tooth Protection: A dental crown restores function if you have a damaged tooth or have been treated for a root canal infection.
- Crown Lengthening: If a short or worn tooth is disrupting your bite, a crown can level your smile for healthier chewing.
- Cosmetic Considerations: A dental crown in Birmingham, AL, can conceal most tooth flaws, including discoloration, wear, and general imperfections.
- Tooth Replacement: Dental crowns cap single dental implant posts and connect bridge teeth to natural teeth.
Dr. Aaron Cook enjoys the artistic aspect of creating dental restorations that blend perfectly with surrounding teeth and complement facial features and skin tone. He believes that the best dental restoration looks great, functions well, and is completely indistinguishable from your own teeth.
Your Birmingham dentist or a member of our team will discuss at-home bridge care with you. Ideally, you should use floss or a water threader to prevent debris from accumulating at the gum line. You should also use a special cleaning brush to keep your bridge looking good and odor-free.