Cook Family and Cosmetic Dentistry
WE ARE NOT A CHAIN OR CORPORATE DENTAL OFFICE :)
  • Family Dentist Birmingham
  • Dentist Birminghim AL | Dentists Near Me
  • Cook Family Dentistry
Family Denist Birmingham | Dentists Near Me

Meet the Doctor

Dr. Cook's genuine concern for your well-being ensures that you will always receive outstanding dental care.

Read More »
Cosmetic Dentist Birmingham AL

About Our Office

Our friendly professional team works hard to make you comfortable so that every visit is enjoyable and stress-free.

Read More »
Dentist Birmingham AL | Cook Family Dentistry

Services & Procedures

We stay current with the latest dental treatments to provide you with the services you need for excellent oral health.

Read More »

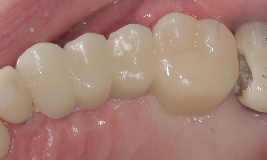
Mini Implant Bridge

This patient had been wearing a removable partial denture for years and was not happy with it. He complained of it moving while he chewed, and said he could not eat many of the foods that he enjoyed. After careful planning, 5 mini dental implants were placed, and a custom bridge was cemented into place. He is now able to chew food again on that side, and he does not have to worry about removing his teeth at night before bed. He called the day after the implants were placed to let us know he was on his way out to go fishing!

Related Services:

Dental Implants
Crowns & Bridges
Not finding what you need?
If you have difficulty using our website, please email us or call us at (205) 326-6384