Cook Family and Cosmetic Dentistry
WE ARE NOT A CHAIN OR CORPORATE DENTAL OFFICE :)
  • Family Dentist Birmingham
  • Dentist Birminghim AL | Dentists Near Me
  • Cook Family Dentistry
Family Denist Birmingham | Dentists Near Me

Meet the Doctor

Dr. Cook's genuine concern for your well-being ensures that you will always receive outstanding dental care.

Read More »
Cosmetic Dentist Birmingham AL

About Our Office

Our friendly professional team works hard to make you comfortable so that every visit is enjoyable and stress-free.

Read More »
Dentist Birmingham AL | Cook Family Dentistry

Services & Procedures

We stay current with the latest dental treatments to provide you with the services you need for excellent oral health.

Read More »

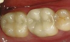
Old, Dark Metal Filling Replaced

This large metal filling was done many years ago. The patient was aware of it any time she smiled or laughed, and asked about replacing it. We were able to give the tooth long-term protection as well as satisfy the patient's cosmetic concerns with a beautiful porcelain crown

Related Services:

Crowns & Bridges
Improve your smile today – call to schedule a consultation!
If you have difficulty using our website, please email us or call us at (205) 326-6384