Cook Family and Cosmetic Dentistry
WE ARE NOT A CHAIN OR CORPORATE DENTAL OFFICE :)
  • Family Dentist Birmingham
  • Dentist Birminghim AL | Dentists Near Me
  • Cook Family Dentistry
Family Denist Birmingham | Dentists Near Me

Meet the Doctor

Dr. Cook's genuine concern for your well-being ensures that you will always receive outstanding dental care.

Read More »
Cosmetic Dentist Birmingham AL

About Our Office

Our friendly professional team works hard to make you comfortable so that every visit is enjoyable and stress-free.

Read More »
Dentist Birmingham AL | Cook Family Dentistry

Services & Procedures

We stay current with the latest dental treatments to provide you with the services you need for excellent oral health.

Read More »

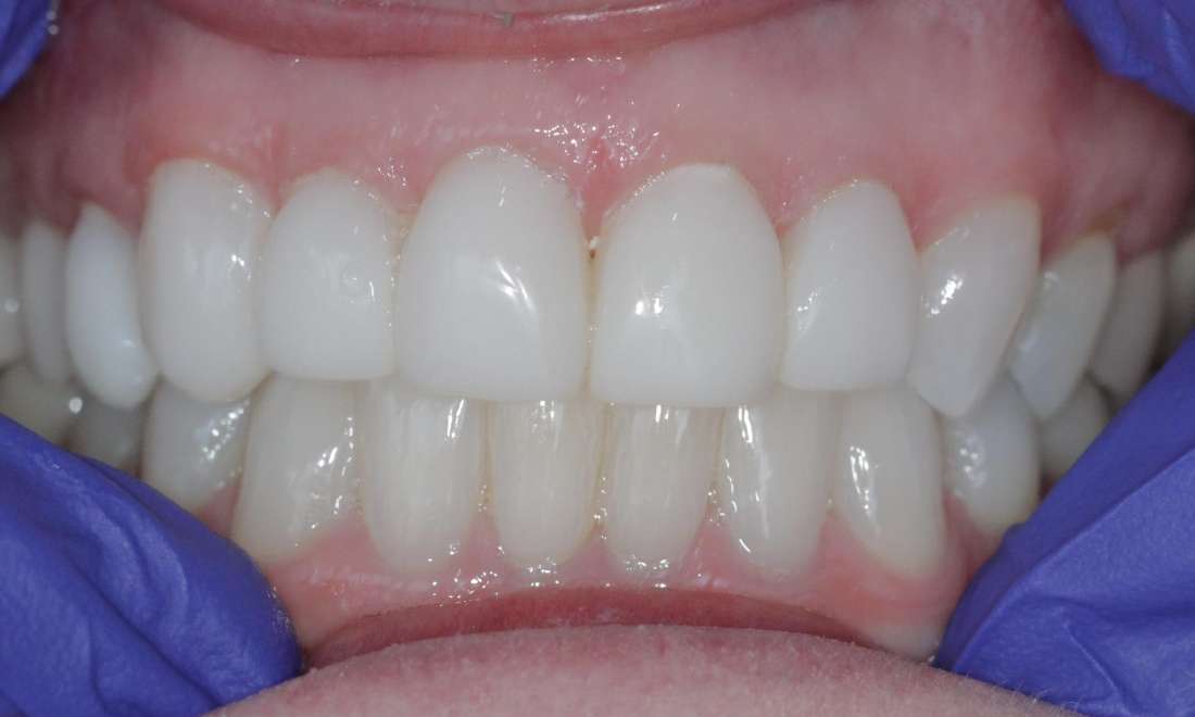
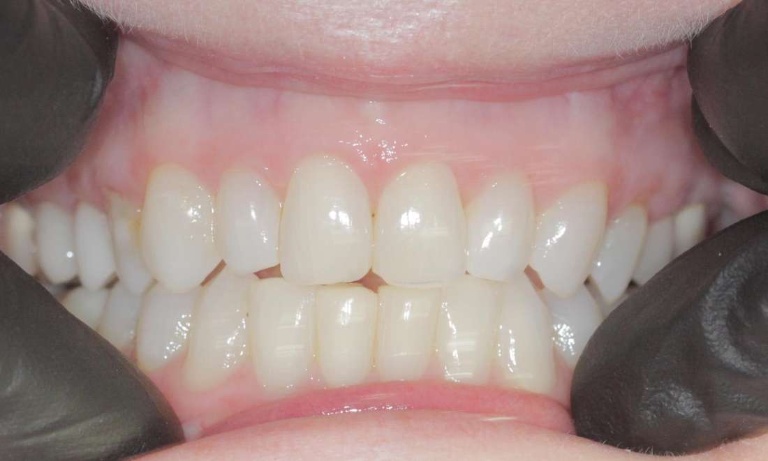
Resin Veneers to improve a smile

This sweet patient wanted to brighten her smile.  She felt her teeth were dark and didn't show up in photos, which caused her to consciously limit the size of her smile.  

During her initial exam, we realized that her front teeth tilted in slightly, which caused them to appear smaller and darker in photos.

We discussed several options (she was not willing to go through any kind of orthodontics) and decided that the best, most conservative option would be resin veneers.  

We were able to design the veneers to eliminate the inward tilt of her teeth, giving her a bigger, brighter and more beautiful smile...all in about 2 hours with no shots and no pain!

Getting an appointment is fast and easy!
If you have difficulty using our website, please email us or call us at (205) 326-6384