Cook Family and Cosmetic Dentistry
WE ARE NOT A CHAIN OR CORPORATE DENTAL OFFICE :)
  • Family Dentist Birmingham
  • Dentist Birminghim AL | Dentists Near Me
  • Cook Family Dentistry
Family Denist Birmingham | Dentists Near Me

Meet the Doctor

Dr. Cook's genuine concern for your well-being ensures that you will always receive outstanding dental care.

Read More »
Cosmetic Dentist Birmingham AL

About Our Office

Our friendly professional team works hard to make you comfortable so that every visit is enjoyable and stress-free.

Read More »
Dentist Birmingham AL | Cook Family Dentistry

Services & Procedures

We stay current with the latest dental treatments to provide you with the services you need for excellent oral health.

Read More »

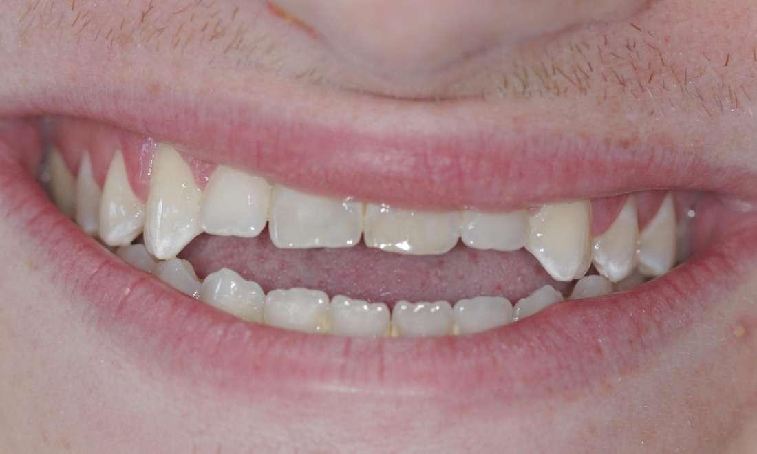
Porcelain veneers to improve smile

This patient was unhappy with the anterior open bite / short-appearing teeth.  He'd had consults for surgery and braces, but did not want to go that route.  We looked over several options and decided together that veneers would be an acceptable alternative treatment.  And he is thrilled with the result...which is why we love doing what we do!

Improve your smile today – call to schedule a consultation!
If you have difficulty using our website, please email us or call us at (205) 326-6384